Causes of a Gummy Smile
Several factors can contribute to excessive gum visibility, including:

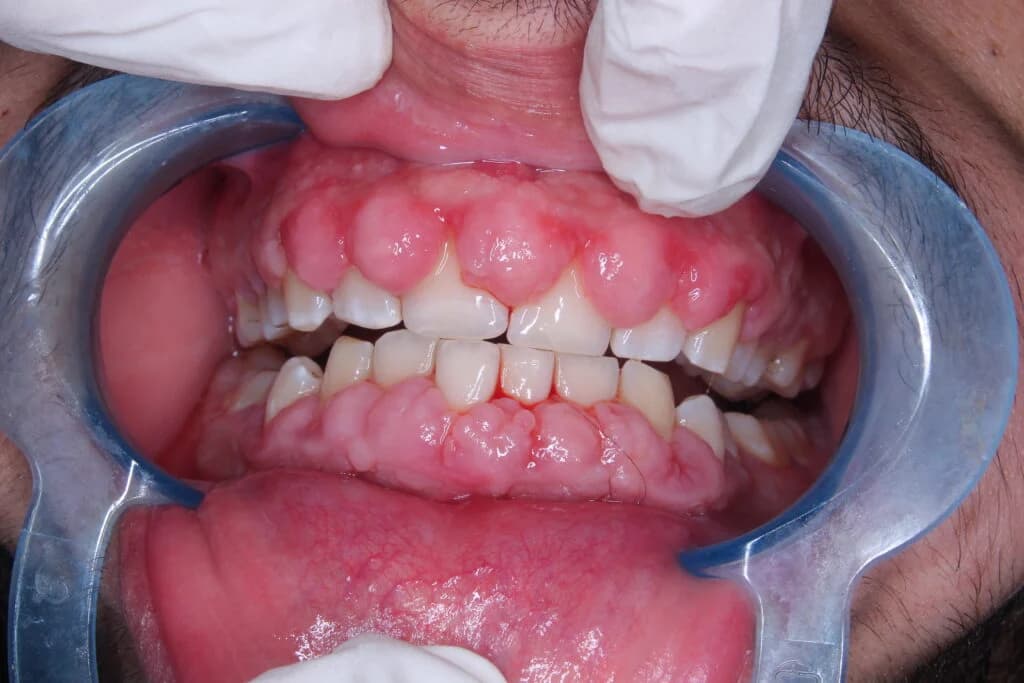
Excess Gum Tissue
Some individuals naturally have more gum tissue covering their teeth.
Short or Worn Teeth
Teeth that are naturally short or have worn down over time can make gums appear more prominent.


Hyperactive Upper Lip
If the upper lip moves too high while smiling, it can expose more of the gums.
Jawbone Alignment Issues
An overgrowth of the upper jaw can push the gums downward, creating a gummy smile.


Gum Inflammation
Poor oral hygiene or conditions like gingivitis can cause swollen gums, making them more visible.
How to Prevent a Gummy Smile
While some causes of a gummy smile are genetic and cannot be prevented, you can take steps to maintain healthy gums and minimize gum exposure:

Maintain Good Oral Hygiene
- Brush twice a day with fluoride toothpaste
- Floss daily to prevent gum inflammation
- Visit your dentist regularly for professional cleanings
Control Gum Overgrowth
- If you notice excessive gum tissue growth, consult a dentist for early intervention
- Avoid habits that can irritate gums, like aggressive brushing


Manage Lip and Jaw Development
If a gummy smile is caused by jaw alignment issues, early orthodontic evaluation (especially in children) can help manage its development.
Treatment Options for a Gummy Smile
If a gummy smile affects your confidence, several treatments can help:

Gum Contouring (Gingivectomy)
A minor surgical procedure where excess gum tissue is removed to reveal more of the teeth.
Botox Injections
Helps relax an overactive upper lip, reducing gum exposure while smiling.


Orthodontic Treatment
Braces or aligners can reposition teeth and jaws to create a more balanced smile.
Lip Repositioning Surgery
Adjusts the position of the upper lip to reduce excessive gum exposure.


Jaw Surgery (Orthognathic Surgery)
In severe cases, surgical correction of jaw alignment may be required.
Conclusion
A gummy smile can be improved with proper dental care, lifestyle changes, or professional treatments. If you're concerned about excessive gum exposure, consult Radhe Multispeciality Dental Clinic & Implant Center for expert guidance and customized treatment options. A confident, balanced smile is just a step away!
Concerned About Your Gummy Smile?
Book a consultation with Dr. Harshit Patel to explore personalized treatment options for a more balanced, confident smile.


